SickKids experts perform Canada's first endovascular hemispherectomy
Summary:
When surgery wasn't an option, SickKids experts decided to perform a novel procedure done only a handful of times in the world, giving Maryam a new chance at life.
Maryam experienced unrelenting seizures from her very first moments of life.
Born in December of 2023 in Toronto, Maryam was admitted to the NICU after doctors noticed unusual twitching on the right side of her body.
Her seizures would occur about every two minutes — sometimes every few seconds — leaving her struggling to feed and even breathe.
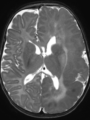
An MRI revealed that Maryam had hemimegalencephaly, a rare neurological condition where one half of the brain is enlarged and can cause epilepsy, developmental delays and muscle weakness. In this case, it had affected the left hemisphere of Maryam’s brain. She was immediately rushed to The Hospital for Sick Children (SickKids).
Clinical tests suggested Maryam had tuberous sclerosis complex (TSC)— a rare genetic disorder that can cause atypical tissue growth in multiple organs, including the brain. In combination with the malformation in her brain and ongoing seizures that became uncontrollable, Maryam’s parents feared the worst.
“At that point, we thought she’d have debilitating seizures for the rest of her life, that she wouldn’t be able to live like other kids,” said Maryam’s mother, Muzna Nafees.
But that wasn’t how Maryam’s story turned out. Instead, her case would go on to mark a turning point in paediatric epilepsy care in Canada. Facing numerous obstacles for treatment, her medical team at SickKids had to think differently, turning to a novel approach—the first of its kind in Canada for children—which changed the course of her life.
Dr. Prakash Muthusami (right) and Carmen Parra-Farinas (left), both neurointerventionists, are physicians specially trained to perform minimally invasive brain procedures using image guidance. Alongside the critical expertise and support of neurovascular technologist Vanessa Rea (centre) and the broader Interventional Neuroradiology team at SickKids, they performed the first endovascular hemispherectomy in Canada.
“In the early days, we were faced with a child who was seizing hundreds of times a day, and we needed to act fast,” says nurse practitioner Ivanna Yau, who coordinates the Epilepsy Surgery Program at SickKids and was a close contact for Maryam’s family throughout their journey.
As both an advocate and key point of connection for families, Yau spearheaded the coordination of several different specialties to figure out a new approach for Maryam.
“That level of collaboration and trust from Maryam’s family is what allowed us to move forward,” says Yau.
A clinical team including neurosurgery, neurology, and neurointerventional specialists assembled quickly to discuss possible next steps.
Despite repeated attempts at controlling Maryam’s seizures with medication, none of the available medications were effective in significantly decreasing them or their impact on her body.
Epilepsy that doesn’t respond to medication – also known as intractable epilepsy – can be treated with surgery, and the most common surgery to treat conditions like Maryam’s is a functional hemispherectomy. This type of surgery disconnects the part of the brain that is having seizures from the rest of the brain. While the approach has a long-established track record of success in children, it is highly invasive and carries significant risks—particularly for infants as young as Maryam.
“With the open surgery approach, there is a major risk of blood loss requiring a transfusion. In a very young infant like Maryam, the risks are even greater. But there was no established alternative at the time,” says Maryam’s neurosurgeon, Dr. James Rutka.
Over the course of the next few months, the team did their best to keep Maryam’s seizures at bay while she could get stronger – the hope was that she could undergo surgery in the future. But Maryam would go on to continue to have significant daily seizures – at times spreading to the rest of her body -- an alarming shift that suggested this increase in epileptic activity might now be affecting her previously healthy right hemisphere.
The neuro-angiography suite at SickKids, where Maryam’s procedure was performed.
The clusters were so frequent and resistant to medication that Maryam’s oxygen levels dropped. There was even a time when Maryam had to be placed on a ventilator temporarily to help her breathe. SickKids’ Paediatric Advanced Care Team (PACT) were engaged to provide additional palliative support in what were expected to be her final days with her family.
But then, Maryam did something unexpected.
“She started feeding from a bottle, even without any feeding tubes. It showed us she wasn’t ready to give up,” says Nafees.
Maryam’s team held an emergency meeting, and turned their attention to a novel, minimally invasive surgery that had only been attempted a handful of times globally before.
“Things developed quickly, and we changed our focus. The fact that we had a multidisciplinary team, and an outstanding neurointerventionist like Dr. Prakash Muthusami, enabled us to explore other, more creative possibilities for Maryam’s case,” says Rutka.
The novel procedure was an endovascular hemispherectomy, and while it was still an emerging approach, the published literature was promising.
“Instead of traditional surgery, which would have required opening her skull and cutting connections in her brain, this approach allowed us to work through her blood vessels, minimizing risks and recovery time,” explains Dr. Prakash Muthusami, an interventional neuroradiologist at SickKids who led the eventual series of procedures and leads the hospital’s Neurointerventional Program.
As opposed to an open surgical procedure, the endovascular approach involves using catheters introduced inside blood vessels to selectively block blood flow to the abnormal areas of the brain, effectively “disconnecting” the problematic hemisphere while preserving healthy tissue.
The technique essentially targets dysfunctional areas of the brain, and by cutting the connection, protects the functioning half of the brain.
“At that point we had shifted drastically from comfort care to exploring potentially life-saving interventions,” says Yau. “Our role was to guide the family through this innovative approach, and they put their trust in our team with something that was entirely new.”
Between February and April 2024, four carefully planned embolization procedures, spaced two to three weeks apart, successfully isolated Maryam’s left hemisphere.
“In the three cases in Washington, the endovascular approach bought them time while they waited for the more invasive surgery. Our hope was that this approach could do the same for Maryam time until she was strong enough for surgery,” says Muthusami.
“But we were amazed by how well she responded,” he says.
Since the summer of 2024, Maryam has been seizure-free and thriving at home with her family. She is pictured above sitting with her mother and aunt.
With each procedure, Maryam’s seizures became less frequent.
And at every step, the Interventional Neuroradiology team, Epilepsy and Neurosurgery teams worked together, using detailed electroencephalogram (EEG) and brain MRI scans to ensure precision and safety.
Now, months later, Maryam has not had a single seizure since July 2024.
“She went from having seizures about every two minutes to having one or two per day, to then having zero, which is incredible,” says Muthusami.
In the months that followed, Maryam began meeting milestones her parents never thought possible. She learned to sit up, eat solids and engage with her environment.
"Because of the procedure, she's making developmental gains that were not previously possible due to her unrelenting seizures. And she'll now be able to develop at her own pace," says neurologist, and Director of the SickKids Tuberous Sclerosis Complex Program, Dr. Lauren Sham, who will continue to follow Maryam until she's 18 years old.
Maryam now understands two languages and loves to hum a tune with her mom at bedtime. During a three-month family trip to India in the summer, she amazed relatives with her bright, playful personality and curiosity about the world around her.
In December 2024, Maryam celebrated her first birthday—a milestone her parents once feared she would never see.
“She’s a miracle,” Muzna shared, beaming. “All the nurses would call her our little miracle baby. She now has her entire life ahead of her and it’s the greatest gift.”
Long-term monitoring will be crucial, say Muthusami, Sham and Rutka — but the outcomes of the procedures have opened new potential pathways for the future.
“This approach has shown us what’s possible with minimally invasive techniques for Precision Child Health,” Muthusami says. “It’s a major milestone in paediatric epilepsy care and Maryam’s journey could pave the way for other infants facing similar circumstances.”
While the future remains unknown, one thing is certain: Maryam is here and she’s thriving. Muzna says their family can now look forward to what’s next.
“She will be able to learn, she will play, she will do things other children can do,” says Muzna. “How simply beautiful is that?”

